carlo
Uploaded by
32 SLIDES
570 VIEWS
320LIKES

Digestive

DESCRIPTION

Digestive . Esophagus. Stratified squamous epithelium Submucosa The muscularis externa Esophageal glands . A. B. C. D. E. B. A. A. B. C. D. E. Stomach. A: Simple columnar epithelium. B: Gastric gland C: Submucosa D: Muscularis externa. A. B. C. D. A. B. C. D. A.

1 / 32

Download Presentation

Digestive

An Image/Link below is provided (as is) to download presentation Download Policy: Content on the Website is provided to you AS IS for your information and personal use and may not be sold / licensed / shared on other websites without getting consent from its author. Content is provided to you AS IS for your information and personal use only. Download presentation by click this link. While downloading, if for some reason you are not able to download a presentation, the publisher may have deleted the file from their server. During download, if you can't get a presentation, the file might be deleted by the publisher.

E N D

Presentation Transcript


  1. Digestive

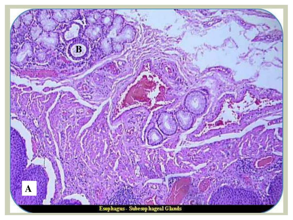
  2. Esophagus Stratified squamous epithelium • Submucosa • The muscularisexterna • Esophageal glands.

  3. A B C D E

  4. B A

  5. A B C D E

  6. Stomach A: Simple columnar epithelium. B: Gastric gland C: Submucosa D:Muscularis externa A B C D

  7. A B C D

  8. A B C

  9. A B C

  10. Small Intestine (duodenum) A: Simple columnar with a striated border B: Mucosa or lamina propria C: Submucosa with Brunner’s glands. D: Inner circular of muscularisexterna. E: Outer longitudinal of muscularisexterna. A B C D E

  11. A B C D E

  12. A B C

  13. Small Intestine (Jejunum) A: Epithelium is simple columnar with striated border B: Mucosa C: Submucosa D: Muscularisexterna A C B D

  14. A B C D

  15. Small Intestine (Ileum) A: Simple columnar with striated border B: Mucosa. C: Submucosa D: Muscularisexterna D B C A

  16. Auerbach’s Plexus A: Outer longitudinal layer of muscualrisexterna. B: Auerbach’s nerve plexes C: Inner Circular of muscularisexterna. A B C

  17. Meissner’s Plexus LP: Lamina Propria. MM: Muscularis mucosa SM: Submucosa. PG: Meissner’splexes

  18. Large Intestine A: Simple columnar epithelium. B: Goblet cells C: Mucosa. D: Muscularis mucosa. E: Submucosa B D C E A

  19. Liver A: Hepatic triad B: Hepatic lobule C: Gallbladder D: Hepatic sinusoids E: Von Kupffer cells 9 D E A C B

  20. C B A

  21. Pancreas A: Pancreatic acini B: Islets of Langerhans are endocrine structures. B A B

More Related
SlideServe
Audio
Live Player
Audio Wave
Play slide audio to activate visualizer