elliot
Uploaded by
68 SLIDES
907 VIEWS
680LIKES

Micro case 1

DESCRIPTION

Micro case 1

1 / 68

Download Presentation

Micro case 1

An Image/Link below is provided (as is) to download presentation Download Policy: Content on the Website is provided to you AS IS for your information and personal use and may not be sold / licensed / shared on other websites without getting consent from its author. Content is provided to you AS IS for your information and personal use only. Download presentation by click this link. While downloading, if for some reason you are not able to download a presentation, the publisher may have deleted the file from their server. During download, if you can't get a presentation, the file might be deleted by the publisher.

E N D

Presentation Transcript


  1. Micro case 1 • Over the course of 1 week, a 6-year-old boy develops 0.5- to 1.0-cm pustules on his face. During the next 2 days, some of the pustules break, forming shallow erosions covered by a honey-colored crust. New lesions then form around the crust. The boy's 40-year­old uncle develops similar lesions after visiting for 1 week during the child's illness.

  2. Micro Case No. 2 (Path Case 18) • Clinical History: This 29 year old male's illness began 10 weeks prior to death, with an episode of "flu". Two weeks later his urine became "smoky". He was found to have hematuria, albuminuria and elevated BUN (180 mg/dl). He died from a pulmonary embolus.

  3. Streptococcus pyogenesBeta hemolysis

  4. [Case 18 ImageScope][Case 18 WebScope]

  5. [Case 18 ImageScope][Case 18 WebScope]

  6. [Case 18 ImageScope][Case 18 WebScope]

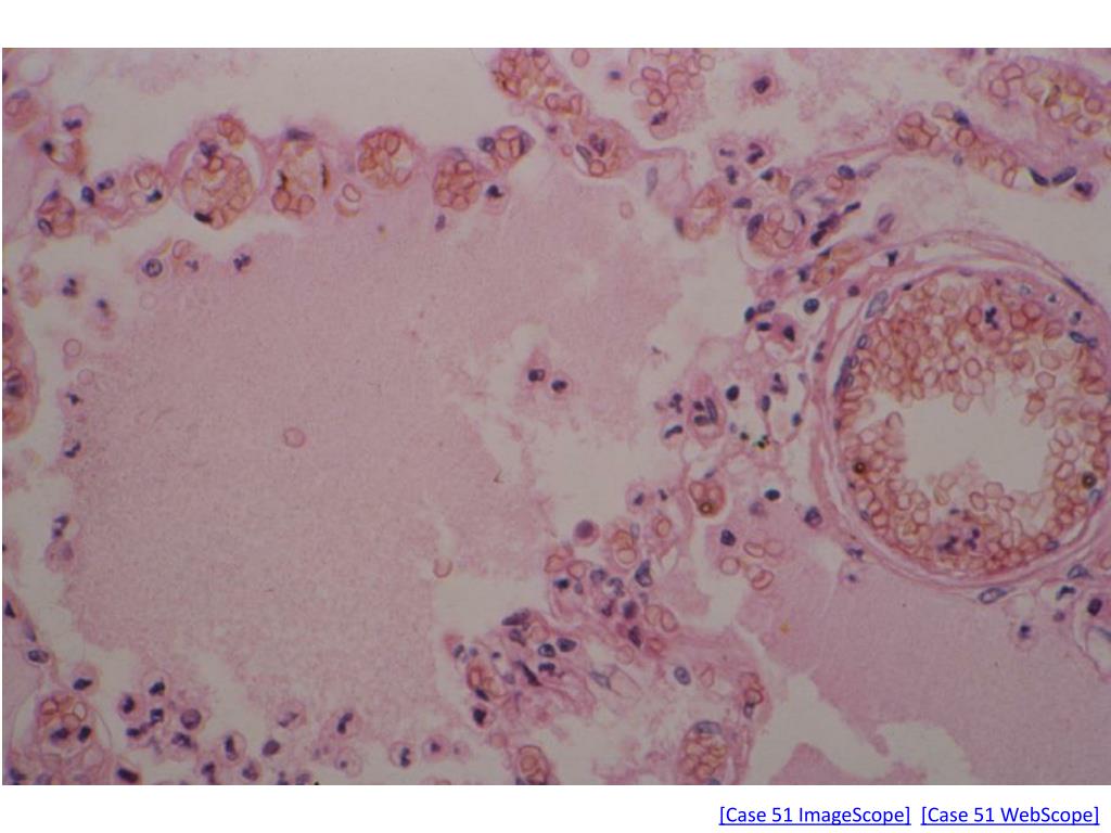
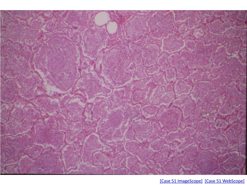
  7. Micro Case 3 (Path Case 51 ) • Clinical History: A 45 year old male became ill approximately 2 to 3 weeks ago following an alcoholic spree. He had nausea, vomiting, dehydration, confusion and high fever. He died rather suddenly shortly after admission.

  8. [Case 51 ImageScope][Case 51 WebScope]

  9. [Case 51 ImageScope][Case 51 WebScope]

  10. [Case 51 ImageScope][Case 51 WebScope]

  11. [Case 51 ImageScope][Case 51 WebScope]

  12. Micro Case 4 (Path Case 195 ) • Clinical History: A 67 year old male had rheumatic heart disease for thirty years. Three months prior to death he began to have episodes of fever and chills accompanied by signs of worsening congestive heart failure. Splinter hemorrhages and purpuric skin rashes were noted three weeks before death.

  13. [Case 195 ImageScope][Case 195 WebScope]

  14. [Case 195 ImageScope] [Case 195 WebScope]

  15. [Case 195 ImageScope] [Case 195 WebScope]

  16. Micro Case 6 (Path Case 123) • Clinical History: A 25 year-old woman has had pelvic pain, fever, and vaginal discharge for 3 weeks. On physical examination, she has lower abdominal adnexal tenderness and a painful, swollen left knee. Laboratory studies show WBC count of 11,875/mm3 with 68% segmented neutrophils, 8% bands, 18% lymphocytes, and 6% monocytes.

  17. [Case 123 ImageScope] [Case 123 WebScope]

  18. [Case 123 ImageScope] [Case 123 WebScope]

  19. [Case 123 ImageScope] [Case 123 WebScope]

  20. Micro Case No. 7 (Path Case 9) • Clinical History: A 51 year old male had a "neurogenic bladder", caused by a spinal cord tumor. He had multiple bladder infections which were treated with antibiotics. He had surgery to remove the tumor. Postoperatively, he developed fever and costovertebral angle tenderness which did not respond to antibiotics. He expired and an autopsy was performed.

  21. MacConkey agar

  22. [Case 9 ImageScope][Case 9WebScope]

  23. [Case 9 ImageScope][Case 9WebScope]

  24. [Case 9 ImageScope][Case 9WebScope]

  25. Micro Case 14 (Path Case 451 ) • Clinical History: A 4 year old female had a gradual onset of fever, productive cough, anorexia and diarrhea about eleven days prior to death. The breath sounds were harsh, and a few cracking rales were heard over the right base posteriorly.

More Related