ulf
Uploaded by
33 SLIDES
530 VIEWS
330LIKES

Week 13 Pathology Cases

DESCRIPTION

Week 13 Pathology Cases . Case No. 25 Clinical History: A 9 year old female had two previous attacks of rheumatic fever. She entered the hospital for the third time with painful swollen joints, fever, and pulmonary edema. She died with signs of progressive heart failure.

1 / 33

Download Presentation

Week 13 Pathology Cases

An Image/Link below is provided (as is) to download presentation Download Policy: Content on the Website is provided to you AS IS for your information and personal use and may not be sold / licensed / shared on other websites without getting consent from its author. Content is provided to you AS IS for your information and personal use only. Download presentation by click this link. While downloading, if for some reason you are not able to download a presentation, the publisher may have deleted the file from their server. During download, if you can't get a presentation, the file might be deleted by the publisher.

E N D

Presentation Transcript


  1. Week 13Pathology Cases

  2. Case No. 25 • Clinical History: A 9 year old female had two previous attacks of rheumatic fever. She entered the hospital for the third time with painful swollen joints, fever, and pulmonary edema. She died with signs of progressive heart failure. [Case 25 ImageScope][Case 25 WebScope]

  3. [Case 25 ImageScope][Case 25 WebScope]

  4. [Case 25 ImageScope][Case 25 WebScope]

  5. [Case 25 ImageScope][Case 25 WebScope]

  6. [Case 25 ImageScope][Case 25 WebScope]

  7. [Case 25 ImageScope][Case 25 WebScope]

  8. Case No. 195 (Micro Case 4) • Clinical History: A 67 year old male had rheumatic heart disease for thirty years. Three months prior to death he began to have episodes of fever and chills accompanied by signs of worsening congestive heart failure. Splinter hemorrhages and purpuric skin rashes were noted three weeks before death. [Case 195 ImageScope][Case 195 WebScope]

  9. [Case 195 ImageScope][Case 195 WebScope]

  10. [Case 195 ImageScope] [Case 195 WebScope]

  11. [Case 195 ImageScope] [Case 195 WebScope]

  12. Case No. 31 • Clinical History: This 45 year old man had been well until he was awakened by chest pain that radiated to both arms and neck and was associated with diaphoresis. His blood pressure was 160/110. He was treated with diuretics (Lasix), but he continued to gain weight. He developed a friction rub. Two days after the onset of the chest pain he had a cardiac arrest and died. [Case 31 ImageScope][Case 31 WebScope]

  13. [Case 31 ImageScope] [Case 31 WebScope]

  14. [Case 31 ImageScope] [Case 31 WebScope]

  15. [Case 31 ImageScope] [Case 31 WebScope]

  16. [Case 31 ImageScope] [Case 31 WebScope]

  17. [Case 31 ImageScope] [Case 31 WebScope]

  18. [Case 31 ImageScope] [Case 31 WebScope]

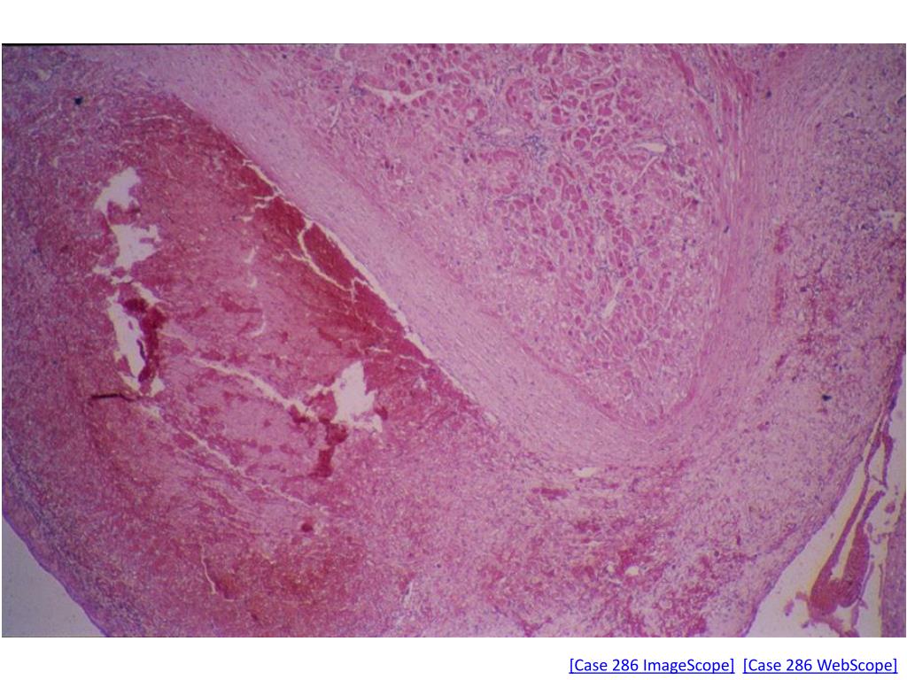
  19. Case No. 286 • Clinical History: This 64 year old male had two episodes of myocardial infarction followed by congestive heart failure during the eight months prior to death. Death was preceded by arrhythmia. [Case 286 ImageScope][Case 286 WebScope]

  20. [Case 286 ImageScope][Case 286 WebScope]

  21. [Case 286 ImageScope] [Case 286 WebScope]

  22. [Case 286 ImageScope][Case 286 WebScope]

  23. [Case 286 ImageScope][Case 286 WebScope]

  24. [Case 286 ImageScope][Case 286 WebScope]

More Related