1 / 49

Clinical Cases in Pathology: Cardiac Arrest, Poisoning, and Surgical Complications

This collection presents critical clinical cases illustrating various pathology scenarios. Case 31 discusses a 45-year-old man who experienced chest pain and died from cardiac arrest. Case 14 details a 37-year-old woman who ingested mercury bichloride in a suicide attempt, leading to anuric renal failure. Other cases include a male patient with postoperative shock after colon resection and a female with obesity-related complications. Each case highlights the complexities of diagnosis and treatment in severe medical scenarios.

laban
Download Presentation

Clinical Cases in Pathology: Cardiac Arrest, Poisoning, and Surgical Complications

An Image/Link below is provided (as is) to download presentation Download Policy: Content on the Website is provided to you AS IS for your information and personal use and may not be sold / licensed / shared on other websites without getting consent from its author. Content is provided to you AS IS for your information and personal use only. Download presentation by click this link. While downloading, if for some reason you are not able to download a presentation, the publisher may have deleted the file from their server. During download, if you can't get a presentation, the file might be deleted by the publisher.

E N D

Presentation Transcript


  1. Week 1Pathology Cases

  2. Case No. 31 • Clinical History: This 45 year old man had been well until he was awakened by chest pain that radiated to both arms and neck and was associated with diaphoresis. His blood pressure was 160/110. He was treated with diuretics (Lasix), but he continued to gain weight. He developed a friction rub. Two days after the onset of the chest pain he had a cardiac arrest and died. [Case 31 ImageScope][Case 31 WebScope]

  3. [Case 31 ImageScope] [Case 31 WebScope]

  4. [Case 31 ImageScope] [Case 31 WebScope]

  5. [Case 31 ImageScope] [Case 31 WebScope]

  6. [Case 31 ImageScope] [Case 31 WebScope]

  7. [Case 31 ImageScope] [Case 31 WebScope]

  8. [Case 31 ImageScope] [Case 31 WebScope]

  9. Case No. 14 • Clinical History: This 37 year old female attempted suicide by ingesting about a dozen tablets of mercury bichloride (HgCl2). A small amount of urine obtained on the first day after taking the pills was positive for occult blood. Despite vomiting, treatment with chelating agents, fluids, and colonic irrigations she became anuric and died 10 days later. [Case 14 ImageScope][Case 14 WebScope]

  10. [Case 14 ImageScope][Case 14 WebScope]

  11. [Case 14 ImageScope][Case 14 WebScope]

  12. [Case 14 ImageScope][Case 14 WebScope]

  13. [Case 14 ImageScope][Case 14 WebScope]

  14. Case No. 95 • Clinical History: A 60 year old white male had a resection of the right side of colon for adenocarcinoma. Seven days after the operation he had continuous abdominal discomfort and went into shock. A laparotomy revealed that the entire small bowel was gangrenous. [Case 95 ImageScope][Case 95 WebScope]

  15. [Case 95 ImageScope][Case 95 WebScope]

  16. [Case 95 ImageScope][Case 95 WebScope]

  17. [Case 95 ImageScope] [Case 95 WebScope]

  18. Case No. 158 • Clinical History: A 63 year old African American male had a five year history of progressive weakness and congestive heart failure. He complained of severe chest pain and dyspnea and died suddenly. [Case 158 ImageScope][Case 158 WebScope]

  19. [Case 158 ImageScope][Case 158 WebScope]

  20. [Case 158 ImageScope][Case 158 WebScope]

  21. [Case 158 ImageScope][Case 158 WebScope]

  22. [Case 158 ImageScope][Case 158 WebScope]

  23. Case No. 40 • Clinical History: A 45 year old male entered the hospital two days prior to death for evaluation of shortness of breath. He was found dead by the nurse. [Case 40 ImageScope][Case 40 WebScope]

  24. [Case 40 ImageScope][Case 40 WebScope]

  25. [Case 40 ImageScope][Case 40 WebScope]

  26. [Case 40 ImageScope][Case 40 WebScope]

  27. Case No. 85 • Clinical History: This 64 year old white female was morbidly obese. [Case 85 ImageScope][Case 85 WebScope]

  28. [Case 85 ImageScope][Case 85 WebScope]

  29. [Case 85 ImageScope][Case 85 WebScope]

  30. [Case 85 ImageScope][Case 85 WebScope]

  31. Case No. 93 • Clinical History: A 50 year old female had recurrent bouts of severe abdominal pain accompanied by elevated serum amylase. After one of these episodes, she developed refractory shock, peritonitis and expired. [Case 93 ImageScope][Case 93 WebScope]

  32. [Case 93 ImageScope][Case 93 WebScope]

  33. [Case 93 ImageScope][Case 93 WebScope]

  34. [Case 93 ImageScope][Case 93 WebScope]

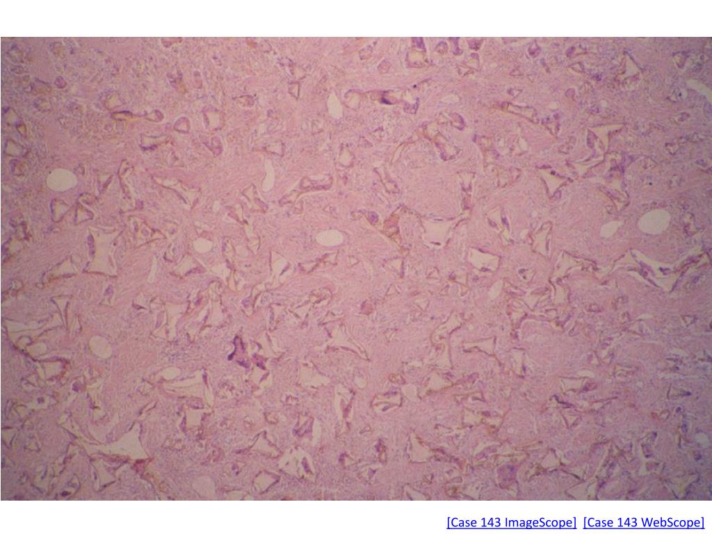
  35. Case No. 143 • Clinical History: This 21 year old woman desired breast enhancement. Silicone implants were placed. One of the implants ruptured causing severe inflammation and had to be removed. [Case 143 ImageScope][Case 143 WebScope]

  36. [Case 143 ImageScope][Case 143 WebScope]

  37. [Case 143 ImageScope][Case 143 WebScope]

  38. [Case 143 ImageScope][Case 143 WebScope]

  39. [Case 143 ImageScope][Case 143 WebScope]

More Related