taline
Uploaded by
195 SLIDES
2343 VIEWS
2000LIKES

Step 1 Review

DESCRIPTION

Step 1 Review . Warren Kupin MD March 15, 2012. Podocyte Visceral epithelial Cell. Parietal epithelial Cell. Mesangial Cell. Endothelial Cell. Proximal Tubules. Interstitial Cells. Bowman’s Space. Normal Glomerular Capillary. Endothelial cell – fenestrated – size restriction .

1 / 195

Download Presentation

Step 1 Review

An Image/Link below is provided (as is) to download presentation Download Policy: Content on the Website is provided to you AS IS for your information and personal use and may not be sold / licensed / shared on other websites without getting consent from its author. Content is provided to you AS IS for your information and personal use only. Download presentation by click this link. While downloading, if for some reason you are not able to download a presentation, the publisher may have deleted the file from their server. During download, if you can't get a presentation, the file might be deleted by the publisher.

E N D

Presentation Transcript

Playing audio...

  1. Step 1 Review Warren Kupin MD March 15, 2012

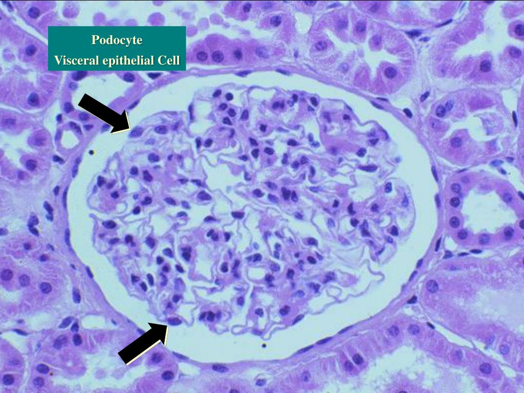
  2. Podocyte Visceral epithelial Cell

  3. Parietal epithelial Cell

  4. Mesangial Cell

  5. Endothelial Cell

  6. Proximal Tubules

  7. Interstitial Cells Bowman’s Space

  8. Normal Glomerular Capillary Endothelial cell – fenestrated – size restriction

  9. Charge selectivity Heparan Sulfate (neg charge) Fenestra of the Endothelial cell Podocytes Foot processes Basement Membrane Filtration Pores in the Basement Membrane

  10. Physiology RPF = PAH clearance RBF= RPF/1-HCT • Filtration Fraction = GFR / RBF GFR = inulin clearance What happens to the filtration fraction? AII ? Constricts Efferent Increase GFR Minimal decrease RPF Increase FF Prostaglandins – PGE2 ? Dilate afferent Increase RPF Increase GFR No change FF

  11. Physiology • Filtration Fraction • ACEI • Dilate efferent • Decrease GFR • Decrease FF • NSAID • Constrict afferent • Decrease RBF • Decrease GFR • No change FF

  12. Importance of Prostaglandins Juxtaglomerular Cells Modified Smooth muscle cells Afferent arteriole Prostaglandins Renin Macula Densa Distal Convoluted Tubule (DCT) Senses NaCl Angiotensin I Angiotensin II Aldosterone Adrenal : Zona Glomerulosa

  13. JGA – Juxtaglomerular ApparatusRenal AutoregulationRemember !! • JGA • DCT • Macula Densa (MD) • Afferent Arteriole • Juxtaglomerular cells • Lacis Cells • Extraglomerular mesangial cells Mesangial Cells Lacis Cells MD DCT

  14. Normal Pgc Afferent Arteriole Efferent Arteriole Decreased Intraglomerular Pressure Hypoperfusion P Afferent Arteriole Efferent Arteriole

  15. Renal Autoregulation Hypoperfusion with Autoregulation Intraglomerular Pressure returns close to normal P Efferentarteriolar constriction Angiotensin II Afferentarteriolar vasodilation PGE2/PGI2 NO Dopamine

  16. Acute Kidney Injury Effective Circulating Volume Depletion Acute Kidney Injury Acute Tubular Necrosis Glomerulonephritis Interstitial Nephritis Obstruction

  17. Outpatient Acute Kidney Injury : Etiologies Majority of Outpatient AKI is Pre-renal Azotemia

  18. Etiology of Acute Kidney Injury in the Hospital

  19. Renal Origin : AKI ATN (85%) Ischemic (50%) Toxic (35%)

  20. Pars Convoluta Pars Recta

  21. AKI – Site of Injury • Ischemic • Outer Medulla • Proximal tubule • Pars recta • TALH (major site) • Toxic • Proximal tubule (pars convoluta) >> Distal tubule

  22. Laboratory Evaluation of ARF

  23. Urinalysis Review RBC cast = GN WBC cast = pyelonephritis granular cast = ATN Waxy cast – CKD Hyaline cast = normal fatty cast = nephrotic

  24. Laboratory Evaluation of AKI

  25. Causes of ATN • Radiology • IV Contrast • Gadolinium • NO !!!! Causes a disease called nephrogenic systemic fibrosis but it is not nephrotoxic – never use in a patient with Stage 5 CKD or Dialysis • Antibiotics • Aminoglycosides • Chemotherapy • Cis platinum • Muscle • Rhabdomyolysis (statins / cocaine)

  26. Phases of AKI • Initiating Phase • Time of exposure to hemodynamic or toxic insult • Oliguric Phase • Period of oliguria (67%) • Urine volume < 400 cc/day Duration of AKI at this point : 10 –14 days

  27. Phases of AKI • Diuretic phase • Increasing urine output (non-oliguric) • No change in renal function • Recovery phase • May last 3 – 12 months before full functional recovery occurs • Acid base / Water homeostasis

  28. Renal Disease : Definitions • Chronic Kidney Disease (CKD) • An irreversible loss of renal function that may or may not lead to End Stage Renal Disease (ESRD) • Duration of kidney failure > 3 months • End Stage Renal Disease (ESRD) • Irreversible renal failure of a magnitude that requires renal replacement therapy to survive • Dialysis or kidney transplant • GFR (glomerular filtration rate) • Creatinine Clearance < 10 cc/min

  29. CKD • Acidosis • Impaired ammoniagenesis –inability to secret H+ - initially non anion gap then in advanced CKD/ESRD – high anion gap • Supplement HCO3 • Anemia • Lack of erythropoietin – made in interstitium • Inject erythropoietin • Hyperparathyroidism • Trade off hypothesis – increased Phos, decreased calcium (low vitamin D) followed by increased PTH= osteodystrophy – secondary hyperparathyroidism • Treat with phos binders

  30. Initiation of RRT • Laboratory indicators: • Unmanageable hyperkalemia • Severe Metabolic acidosis • Uremic Symptoms / Encephalopathy • (ie. nausea, vomiting, altered mental acuity, seizures, anorexia) • Pericaridal rub • Unmanageable volume overload • No specific BUN, creatinine or GFR • (Usually GFR < 10 cc/min

  31. Urinalysis : Proteinuria Nephrotic Syndrome • hypoalbuminemia • hypercholesterolemia (Type IIA) • edema • > 3.5 gm/protein/day or protein/creatinine > 3.5 (based on 1.73 sq m body surface area) Caveat • All the above clinical and laboratory findings do not need to be present - nephrotic range proteinuria is the most important finding to identify

  32. Nephritic Syndrome : PHAROH • P = Proteinuria (<3.5 gm in 24 hours) • H = Hematuria (dysmorphic RBCS) • A = Azotemia • R = RBC casts • O = Oliguria • H = HTN

  33. Laboratory Evaluation of AKI Telescopic Urine

  34. Nephrotic Syndrome

  35. Normal Patient The electron microscopy shows fusion (effacement) of the foot processes, MINIMAL CHANGE DISEASE Podocyte injury is thought to be the pathogenesis of Minimal Change Disease.

  36. Immunoflourescence of Minimal Change Disease Nothing !!!!!!!!!!!!!! No deposits

  37. Here, the basement membrane looks thick and rigid.

  38. Here, the basement membrane looks thick and rigid. Compare the patient’s (left) with the normal glomerulus (right).

  39. Here, the basement membrane looks thick and rigid. A special stain for membranes called (Jones’) silver stain shows spikes. These findings are typical for MEMBRANOUS GLOMERULOPATHY

  40. Immunofluorescence confirms the presence of deposits with the typical granular appearance Sub-Epithelial Deposits

  41. Fun Glomerulonephritis Facts • Black patients get FSGS >>>> Caucasian (membranous) • HIV is associated with FSGS / Collapsing variant • Hepatitis C is associated with MPGN – cryoglobulinemia = low complements (C3, C4) • Hepatitis B is associated with Membranous • IgA is found in Asians – with URI – gross hematuria • Post Strep (Post Infectious) – 10-14 days AFTER onset of infection – Proliferative GN – immune complexes (humps) – low complement • SLE is an immune complex disease – low complements – diffuse proliferative GN- Sub endothelial deposits

  42. Diffuse Proliferative GN : SLE or MPGN or Post infectious NORMAL Too many cells – Everywhere in the glomerulus

  43. CrescenticGlomerulonephritis

  44. Crescentic = Rapidly Progressive GN

  45. Immunofluorescence shows linear staining of the glomerular basement membranes. Anti-GBM – Goodpasture’s – Hemoptysis – Pulm/renal syndrome

  46. Granular Staining Linear Staining Membranous Goodpasture’s

  47. What if the Patient has RPGN – crescents but this finding on immunoflourescence ??? On immunofluorescence, there is virtually no staining  pauci-immune. ANCA positive !!! Remember 2 types C – ANCA and P - ANCA

  48. RPGN = Crescentic GN Goodpasture’s Disease Anti-GBM Immune Complex Pauci-Immune ANCA + (Wegener’s)

  49. Diabetic Nephropathy typically has a nodular appearance on light microscopy (Kimmelstiel-Wilson nodules) that can occupy large parts of the glomerulus in the advanced stage. Immunoflouresence – negative – no deposits-normal complement

  50. Amyloid – looks just like Diabetes – stains with Congo Red No immune deposits – only fibrils

More Related