teryl
Uploaded by
30 SLIDES
462 VIEWS
300LIKES

Case 10

DESCRIPTION

Case 10. New Frontiers in Pathology, 2008 William G. Finn, M.D. University of Michigan Ann Arbor, Michigan. Case Presentation.

1 / 30

Download Presentation

Case 10

An Image/Link below is provided (as is) to download presentation Download Policy: Content on the Website is provided to you AS IS for your information and personal use and may not be sold / licensed / shared on other websites without getting consent from its author. Content is provided to you AS IS for your information and personal use only. Download presentation by click this link. While downloading, if for some reason you are not able to download a presentation, the publisher may have deleted the file from their server. During download, if you can't get a presentation, the file might be deleted by the publisher.

E N D

Presentation Transcript


  1. Case 10 New Frontiers in Pathology, 2008 William G. Finn, M.D. University of Michigan Ann Arbor, Michigan

  2. Case Presentation • A 79 year old man presented with cervical lymphadenopathy and a lesion at the base of the tongue. The tongue lesion was biopsied. He was subsequently admitted to the hospital with progressive dyspnea, cough, and pulmonary infiltrates on chest X-ray. Upper endoscopy had revealed “prominent gastric folds” and subsequent abdominal CT scan showed prominent splenomegaly, periaortic lymphadenopathy, and “stranding” of mesentery. He underwent a cervical lymph node biopsy 9 days after the tongue biopsy.

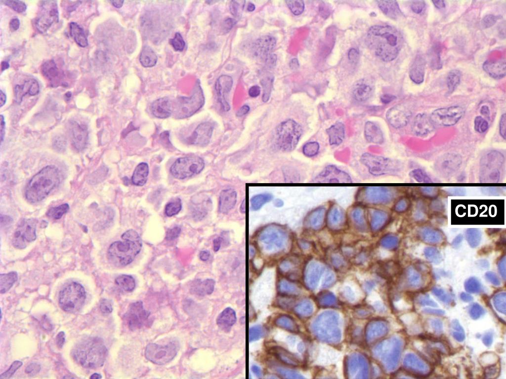
  3. Biopsy, base of tongue

  4. CD20

  5. Biopsy, right cervical lymph node

  6. CD2

  7. CD7

  8. CD21

  9. CD10

  10. EBER, cervical lymph node

  11. EBER, tongue mass

  12. TCR-gamma PCR, cervical lymph node v1-8 v 9 -globin v 10-11

  13. IgH PCR, cervical lymph node FR1 FR2 -globin FR3

  14. Summary • Diffuse CD20 positive infiltrate of tongue, diffusely EBER + • T-cell infiltrate in lymph node • Arborizing vasculature • Disrupted dendritic meshwork • EBER+ individually scattered immunoblasts • Lymph node shows both T and B clonal gene rearrangements

  15. Diagnosis Diffuse large B-cell lymphoma (EBV+) arising in the setting of angioimmunoblastic T-cell lymphoma

  16. Pathogenesis of AILTL • Neoplasm of germinal center T-cells • CD4+ • CXCL13+ • CD10+ • Bcl-6+ • Systemic signs/ symptoms • Hypergammaglobulinemia, rash, fever, etc

  17. Allen et al: Immunity 2007; 27:190

  18. Pathogenesis (?EBV cause or effect) Immune dysregulation AILT EBV DLBCL

  19. CD20

  20. EBER

  21. Summary – AILT lymphoma • A distinct clinico-pathologic entity • Lymphoma of T helper cells that normally reside in the germinal center and function in antigen-driven B cell development • Typically harbors EBV positive B cells • Occasionally the EBV+ B cells proliferate • In extreme cases the B cell proliferation progresses to frank DLBCL

More Related