nansen
Uploaded by
10 SLIDES
301 VIEWS
100LIKES

Bottom Line

DESCRIPTION

Bottom Line. Diagnostic reproducibility in the range of intraductal proliferative lesions is poor Even amongst breast pathology experts Even when specific criteria are used Particularly in the ADH/limited LG-DCIS realm

1 / 10

Download Presentation

Bottom Line

An Image/Link below is provided (as is) to download presentation Download Policy: Content on the Website is provided to you AS IS for your information and personal use and may not be sold / licensed / shared on other websites without getting consent from its author. Content is provided to you AS IS for your information and personal use only. Download presentation by click this link. While downloading, if for some reason you are not able to download a presentation, the publisher may have deleted the file from their server. During download, if you can't get a presentation, the file might be deleted by the publisher.

E N D

Presentation Transcript


  1. Bottom Line • Diagnostic reproducibility in the range of intraductal proliferative lesions is poor • Even amongst breast pathology experts • Even when specific criteria are used • Particularly in the ADH/limited LG-DCIS realm • Significance on the core of ADH vs DCIS has fewer management implications than UDH vs ADH. • Still rely heavily on morphology alone. • Deepers, IHC can sometimes help. • So if in doubt, send it out! Or share.

  2. Post-quiz

  3. 1.

  4. 2. 0.1 cm

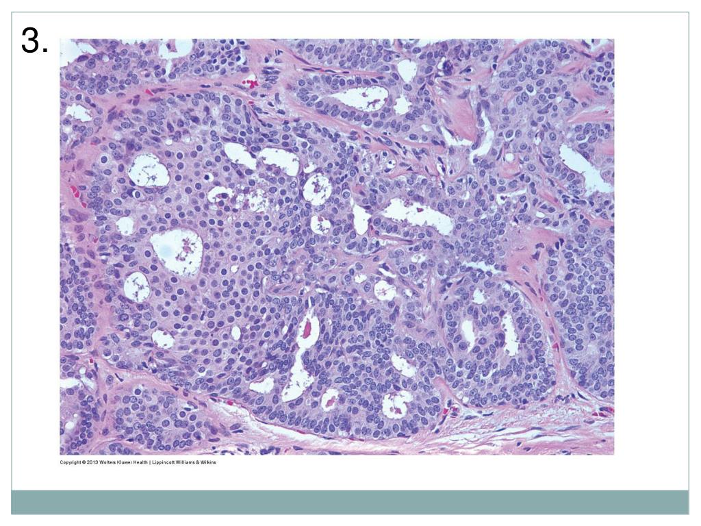
  5. 3.

  6. 4.

  7. 5.

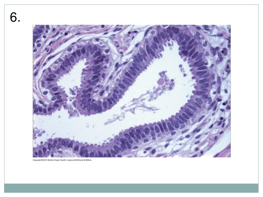
  8. 6.

  9. Answers Pre-quiz Post-quiz 1. UDH 2. ADH 3. DCIS 4. FEA 5. UDH 1. UDH 2. ADH 3. ADH 4. UDH 5. FEA 6. CCC

More Related
SlideServe
Audio
Live Player
Audio Wave
Play slide audio to activate visualizer