1 / 53

HÍGADO

HÍGADO. RECUERDO HISTOLÓGICO DEL HÍGADO. Órgano intracavitario más grande del cuerpo (1500g), lobulado, externamente revestido por cápsula de Glisson Homeostasis metabólica del organismo . Procesamiento de aminoácidos, hidratos de carbono, lípidos y vitaminas

marcin
Download Presentation

HÍGADO

An Image/Link below is provided (as is) to download presentation Download Policy: Content on the Website is provided to you AS IS for your information and personal use and may not be sold / licensed / shared on other websites without getting consent from its author. Content is provided to you AS IS for your information and personal use only. Download presentation by click this link. While downloading, if for some reason you are not able to download a presentation, the publisher may have deleted the file from their server. During download, if you can't get a presentation, the file might be deleted by the publisher.

E N D

Presentation Transcript


  1. HÍGADO

  2. RECUERDO HISTOLÓGICO DEL HÍGADO Órgano intracavitario más grande del cuerpo (1500g), lobulado, externamente revestido por cápsula de Glisson Homeostasis metabólica del organismo . Procesamiento de aminoácidos, hidratos de carbono, lípidos y vitaminas . Detoxificación: eliminación de microbios y toxinas . Síntesis de proteínas plasmáticas (albúmina) y factores de coagulación . Desintoxicación y excreción en la bilis de productos residuales endógenos y contaminantes - Filtrado de la sangre - Destrucción hematíes - Glucogenogénesis

  3. RECUERDO HISTOLÓGICO DEL HÍGADO • Unidad funcional del hígado: el LOBULILLO • Estructura teóricamente hexagonal: • Eje central: vena centrolobulillar • Vértices del hexágono: tríada portal (arteria hepática, rama de v. porta, ducto biliar) • Hepatocitos dispuestos entrabéculasradiales al eje central • HEPATOCITO: célula grande con núcleo y nucleolo prominentes; gránulos de glucógeno en citoplasma • Las trabéculas están revestidas por ambas caras por endotelio; espacio entre trabécula y trabécula se llamasinusoide y es por donde transcurre la sangre • Otras células presentes: células de Kupffer (macrófagos), células de Ito.

  4. ESPACIO PORTA V: vena B: vía biliar A: arteria LOBULILLO VC: vena centrolobulillar vc

  5. trabéculas sinusoide S: endotelio

  6. HEPATITIS

  7. HEPATITIS • DEFINICIÓN: inflamación del hígado. • Se considera hepatitis crónica si la inflamación perdura >6 meses con evidencia clínica, serológica o histológica • CAUSAS: • Infección viral: VHA, VHB, VHC, VHD, VHE • Otras infecciones: • Tuberculosis • Fiebre amarila • Virus epstein-barr (mononucleosis) • Stafilococo • Malaria • Amebias • Hepatitis alcohólica • Hepatitis autoinmune (lupus)

  8. HEPATITIS • EVOLUCIÓN: no son fases correlativas • Infección aguda asintomática: solo serología+ • Hepatitis aguda: con/sin ictericia • Hepatitis crónica (>6 meses): progresa o no a cirrosis hepática • Estado portador crónico: asintomático sin enfermedad aparente • Hepatitis fulminante: IH aguda con necrosis hepática. • INFECCIÓN AGUDA: • Hallazgo incidental de serología, no síntomas • HEPATITIS AGUDA: • Aunque cualquier virus hepatótropo lo puede producir, sobre todo son causadas por VHB; raramente VHC. • Fases: • Incubación: alta infectividad • Fase sintomática sin ictericia: malestar, adelgazamiento, febrícula. Aminotransferasas elevadas. • Fase sintomática con ictericia: ictericia, colestasis y prúrito, heces claras. Bastante habitual en niños con VHA.

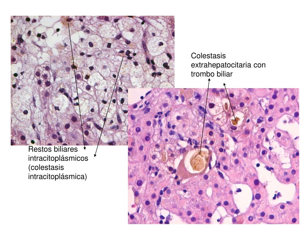
  9. HEPATITIS • ANATOMÍA PATOLÓGICA en H. AGUDA: : • Macroscópico: hepatomegalia • Microscópico: IMPORTANTE • Hepatocitos vacuolados: citoplasma aclarado • Colestasis: sobre todo en VHC • Intracitoplásmico • Extracelular: tapones de bilis en vías biliares • Necrosis hepatocitaria: • células aisladas (apoptosis): formando cuerpos de Councilmann • masiva (puentes porto-portales/centro-centrales/porto-centrales): alta mortalidad, requiere transplante rápidamente • Inflamación de los espacios portales • Si la inflamación se extiende a los hepatocitos periportales, se denomina hepatitis de la interfase

  10. Degeneración balonizante

  11. Colestasis extrahepatocitaria con trombo biliar Restos biliares intracitoplásmicos (colestasis intracitoplásmica)

  12. Necrosis en puentes Apoptosis (cuerpo de Councilman)

  13. Inflamación en espacio porta Inflamación fuera del espacio portal

  14. HEPATITIS • HEPATITIS CRÓNICA: • Se considera hepatitis crónica si la inflamación perdura >6 meses con evidencia clínica, serológica o histológica • Causa principal virus hepatótropos, aunque también enf. Wilson, déficit α1AT, alcoholismo crónico, autoinmunidad. • Síntomas: no llamativos • Malestar, cansancio • Ictericia leve • Angiomas, eritema plantar, dolor a la palpación del hígado • La hepatitis viral crónica es un estado de portador en el que los individuos albergan un virus en replicación y por tanto pueden transmitirlo • Curso impredecible: • Remisión espontánea o enfermedad indolente sin progresión • Cirrosis

  15. HEPATITIS • ANATOMÍA PATOLÓGICA en H. CRÓNICA: IMPORTANTE • Estudio macroscópico: no llamativo sin no hay nódulos cirróticos • Estudio microscópico: hallazgos muy variables, leve a grave • En el informe de AP, se recoge: daño leve/moderado/severo dependiendo de la inflamación, la fibrosis y la necrosis de la biopsia hepática • Infiltrado inflamatorio periportal con linfos y células plasmáticas; a veces, también polimorfonucleares • Fibrosis (IMPORTANTE) • NO todas las hepatitis crónicas desarrollan fibrosis • Fibrosis periportal, que va emitiendo septos que pueden llegar a unirse unas con otras, formando un nódulo regenerativo (característico de cirrosis) • Cirrosis: proceso progresivo en el tiempo, caracterizado por formar nódulos regenerativos, también llamados nódulos cirróticos, que alteran la arquitectura hepática normal. • La cirrosis NO es reversible • La cirrosis es el estadío final de la fibrosis hepatocitaria • Si los nódulos son grandes, se pueden identificar macroscópicamente • Necrosis periportal o en puentes: puede estar o no.

  16. Hepatitis crónica persistente: inflamación portal

  17. Hepatitis crónica: inflamación periportal

  18. Hepatitis crónica: inflamación y necrosis en puentes

  19. septos Fibrosis con septos, estadío precirrótico (teñido con tricrómico de Masson)

  20. Nódulo cirrótico

  21. HEPATOPATÍA ALCOHÓLICA

  22. HEPATOPATÍA ALCOHÓLICA • Alcohol (etanol): causa más frecuente de enfermedad hepática crónica en occidente: • del 60% de las hepatopatías crónicas son por OH • Causa del 50% de muerte por cirrosis • Produce tres lesiones fundamentales: • Esteatosis (degeneración grasa del hepatocito) • Hepatitis alcohólica • Cirrosis

  23. HEPATOPATÍA ALCOHÓLICA • ESTEATOSIS: degeneración grasa del hígado, formando vacuolas de grasa intracitoplasmática de tamaño variable. • Hígado agrandado, amarillento. • Esteatosis macrovesicular: las vacuolas desplazan el núcleo del hepatocito a la periferia • Esteatosis microvesicular: restos finos de grasa en el citoplasma del hepatocito • Comienza en localización centrolobulillar • A veces desarrollan fibrosis alrededor de las venas centrolobulillares;hasta que ocurra dicho evento, los cambios hepáticos son reversibles si cesa la ingesta de alcohol.

  24. Vacuolas grandes Vena centrolobulillar

  25. HEPATOPATÍA ALCOHÓLICA • HEPATITIS ALCOHÓLICA: • Hinchazón de hepatocitos (balonización): por acumulación de grasa y agua • Focos de necrosis • Cuerpos de Mallory: presencia de restos celulares eosinófilos en hepatocitos degenerados • Existen en H. alcohólica pero también en otras patologías del hígado • Fibrosis sinusoidal

  26. Hialina de Mallory

  27. HEPATOPATÍA ALCOHÓLICA • CIRROSIS ALCOHÓLICA: • Forma final e irreversible de hepatopatía alcohólica • Evoluciona insidiosamente • Estudio macroscópico: • Hepatomegalia moderada (2kg) al principio que con el tiempo evoluciona hacia órgano pequeño (1kg) • Nódulos macroscópicos en superficie del hígado; al cortarlo, también se pueden ver. • Consistencia dura • Color marrón

  28. HEPATOPATÍA ALCOHÓLICA • CIRROSIS: IMPORTANTE • Estudio microscópico: • Septos fibrosos sinusoidales que se extienden hasta la vena centrolobulillar y entre espacios porta (constituyen puentes) • Al principio, los septos son finos pero con el paso del tiempo, van engrosándose y forman nódulos • Nódulos pequeños grandes • El parénquima hepático atrapado comienza a regenerar (nódulo cirrótico) • Finalmente el hígado se encoge por la fibrosis, es duro y al corte tiene muchos nódulos • En esta fase, no es habitual encontrar cuerpos de Mallory.

  29. Nódulo cirrótico

  30. TUMORES HEPÁTICOS

  31. TUMORES HEPÁTICOS • Tres tipos de tumores hepáticos: • Tumores benignos • Tumores malignos • Tumores metastásicos • Asiento más frecuente de metástasis de cáncer de mama, colon y pulmón

  32. Tumores metastásicos

  33. TUMORES HEPÁTICOS • TUMORES BENIGNOS: • HEMANGIOMA CAVERNOSO: • Tumor benigno < 2 cm • Localización subcapsular • Tumor de tipo vascular: • Bien delimitado • Nódulo constituido por vasos revestidos por endotelio sin atipias • D.D: metástasis • Complicación: ruptura y sangrado • ADENOMA HEPÁTICO: • Tumor benigno más común • Mujeres edad fértil tomadoras de anticonceptivos orales • Subcapsular • Tamaño variable, hasta muy grandes (30cm) • Masa constuida por hepatocitos sin atipia que no contienen espacios porta pero sí bastantes vasos • DD: metástasis o hepatocarcinoma • Complicación: ruptura y sangrado (sobre todo en embarazo por estímulo estrogénico); riesgo de degenerar a hepatocarcinoma si conllevan la mutación del gen β-catenina

  34. Adenoma Adenoma

  35. hemangioma

  36. TUMORES HEPÁTICOS • TUMORES MALIGNOS: • Hepatoblastoma: • T. infantil • Histología epitelial o mixta (epitelial-mesenquimal) • Angiosarcoma: • Raro • Adultos expuestos al policloruro de vinilo, Thorotrast (Torio radiactivo). • Hepatocarcinoma • Tumor hepático primario más frecuente

  37. TUMORES HEPÁTICOS • HEPATOCARCINOMA (5%): GENERALIDADES • 5% de cáncer corresponde a HC • Incidencia variable, dependiendo de infección por virus hepatótropos • 85% en países con alta tasa de VHB • Asia, China, Taiwan • Mozambique • Pacientes • 20-40 años en países de incidencia alta (asia) • pueden o no tener cirrosis previamente (generación “de novo”) • En occidente, normalmente >55-60 años • Casi todos (90%) tienen cirrosis previa • Hombres >> Mujeres • Zonas de incidencia alta: 8:1 (H:M) • Zonas de incidencia baja: 3:1 (H:M) • Se piensa que el sexo masculino es predominante por: • Mayor tasa de infección por VHB • Alcoholismo • Hepatopatía crónica

  38. TUMORES HEPÁTICOS • HEPATOCARCINOMA: SÍNTOMAS • Hepatomegalia silente • Cirrosis que empeora • Ascitis • Ascitis sanguinolenta • Fiebre • Dolor • Ictericia • Marcadores de laboratorio: • Alfa-fetoproteína: • 50% HC tienen α fetoproteína elevado • Muchas otras situaciones elevan α fetoproteína • Cirrosis • Necrosis hepática masiva • Hepatitis crónica • Embarazo normal • Embarazos complicados: espina bífida, anencefalia, muerte fetal, distrés fetal

  39. TUMORES HEPÁTICOS • HEPATOCARCINOMA: PRONÓSTICO • Tumor de mal pronóstico • Mejora pronóstico nódulo tumoral único • Tamaño <2cm • Función hepática aceptable • Supervivencia media: 7 meses • Causas de fallecimiento: • Caquexia • Hemorragia digestiva por sangrado de varices esofágicas • Insuficiencia hepática con coma hepático • Rotura del tumor con hemorragia interna masiva • Tratamiento: • Transplante: si buena función hepática o nódulo único o pequeño • Cirugía: si nódulo resecable, uno o dos (no más) • Escleroterapia: se inyectan sustancias en el tumor para que lo esclerosen (fibrosen) y lo reduzcan de tamaño para poder operarlo • QT

  40. TUMORES HEPÁTICOS • HEPATOCARCINOMA: ANATOMÍA PATOLÓGICA: IMPORTANTE • Estudio macroscópico: • Hígado normal o agrandado • A la sección, nódulo/nódulos de coloración más clara que el resto del hígado • En el centro, necrotizados si son grandes • Al corte puede apreciarse la invasión tumoral de las ramas de la vena porta. • Produce el síndrome de Budd-Chiari: oclusión trombótica aguda y normalmente, mortal, de las venas suprahepáticas • Los bien diferenciados son de color verdoso (producen bilis). • Alta tendencia a producir metástasis intrahepáticas

  41. TUMORES HEPÁTICOS • HEPATOCARCINOMA: ANATOMÍA PATOLÓGICA • Estudio microscópico: • Tumores normalmente bien diferenciados, se parecen mucho al hígado no tumoral • Los hepatocitos tumorales se disponen en: • Trabéculas • Pseudoglándulas en general, de forma ordenada • Cordones • Característica: pierden el tejido conectivo que rodea las trabéculas (estudio con reticulina) y por ello, son tumores de consistencia blanda • Diseminación a distancia: • Normalmente tardía metástasis pulmonares

More Related