1 / 25

ANATOMIA DE RODILLA.

ANATOMIA DE RODILLA. DR. IGNACIO LUGO ALVAREZ. CAPSULA SINOVIAL. REVISTE LA CARA INTERNA DE LA CAPSULA FIBROSA Y SE EXTIENDE SOBRE LOS HUESOS DE LA ARTICULACION HASTA LOS BORDES DE LOS CARTILAGOS ARTICULARES. BOLSA SUPRAROTULIANA.

velvet
Download Presentation

ANATOMIA DE RODILLA.

An Image/Link below is provided (as is) to download presentation Download Policy: Content on the Website is provided to you AS IS for your information and personal use and may not be sold / licensed / shared on other websites without getting consent from its author. Content is provided to you AS IS for your information and personal use only. Download presentation by click this link. While downloading, if for some reason you are not able to download a presentation, the publisher may have deleted the file from their server. During download, if you can't get a presentation, the file might be deleted by the publisher.

E N D

Presentation Transcript


  1. ANATOMIA DE RODILLA. DR. IGNACIO LUGO ALVAREZ.

  2. CAPSULA SINOVIAL. REVISTE LA CARA INTERNA DE LA CAPSULA FIBROSA Y SE EXTIENDE SOBRE LOS HUESOS DE LA ARTICULACION HASTA LOS BORDES DE LOS CARTILAGOS ARTICULARES. BOLSA SUPRAROTULIANA. SE EXTIENDE HACIA ARRIBA ENTRE EL FEMUR Y EL TENDON DEL MUSCULO CUADRICEPS FEMORAL, HASTA 8CM POR ARRIBA DE LA ROTULA. FACILITA EL MOVIMIENTO LIBRE DEL TENDON DEL MUESCULO CUADRICEPS SOBRE EL EXTREMO DISTAL DEL FEMUR. ASI COMO LA FLEXION Y EXTENSION DE LA RODILLA.

  3. BURSA DEL POPLITEO. SE LOCALIZA ENTRE EL TENDON DEL POPLITEO Y EL CONDILO LATERAL DE LA TIBIA SE HABRE A LA PARED LATERAL DE LA CAVIDAD SINOVIAL POR DEBAJO DEL MENISCO LATERAL. BOLSA ANSERINA. TIENE VARIOS DIVETICULOS Y SEPARA LOS TENDONES DE LOS MUSCULOS SARTORIO, GRACILIS Y SEMIMEMBRANOSO DE LA PARTE PROXIMAL DE LA CARA SUPERIOR DE LA TIBIA Y DEL LIGAMENTO COLATERAL DE LA TIBIA.

  4. ESTABILIZACION LATERAL DE LA RODILLA. ESTA DADA POR LA CAPSULA Y EL TRACTO ILIOTIBIALDE LA RODILLA LA PARTE ANTERIOR DE LA CAPSULA ES REFORZADA POR EL RETINACULO SUPERIOR E INFERIOR Y EL MUSCULO VASTO LATERAL. EL TRACTO ILIOTIBIAL ES UNA EXTENSION DE LA FASCIA LATA LA CUAL SE INSERTA EN EL TUBERCULO DE GERDY. EL CUAL SE LOCALIZA EN LA SUPERFICIE ANTEROLATERAL DE LA TIBIA.

  5. BANDA ILIOTIBIAL. ANTERIOR POSTERIOR.

  6. M Y T. POPLITEO BANDA ILIOTIBIAL LCL. LCL T.BICEPS. L. FABELO FIBULAR. T Y L POPLITEO. L.CAPSULAR. L.POPLITEO FIBULAR.

  7. L.COL.LAT. M .Y T POPLITEO.

  8. TUBEROSIDAD EXTERNA. SITIOS DE INSERCION : G. MUSCULO GASTRONECMIO. LCL. LIGAMENTO COLATERAL LATERAL. PT. TENDON POPLITEO.

  9. LIGAMENTO ARCUATO. M Y T. POPLITEO.

  10. LCL. T. BICEPS FEMORAL.

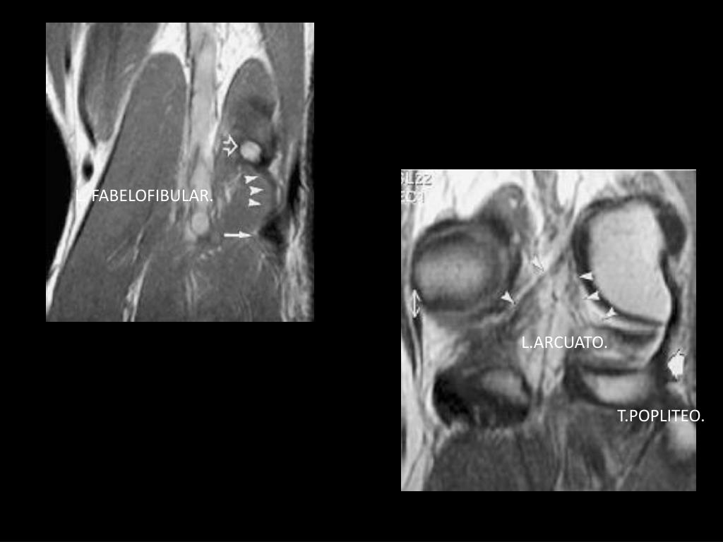
  11. L. FABELOFIBULAR. L.ARCUATO. T.POPLITEO.

  12. SEMITENDINOSO VASTO MEDIAL. SEMIMEMBRANOSO GASTRONECMIO MEDIAL.

  13. GASTRONECMIO MEDIAL. POPLITEO. SOLEO.

  14. BICEPS FEMORAL. GEMELO LATERAL. TIBIAL ANTERIOR.

  15. RECTO INTERNO. Biceps femoral. SARTORIO. SEMIMEMBRANOSO

  16. BICEPS F. RECTO INTERNO GEMELO CABEZA MEDIAL. SOLEO.

  17. VASTO LATERAL. VASTO MEDIAL. TIBIAL ANTERIOR.

  18. T.ANTERIOR POPLITEO T.POSTERIOR EXT.DEDO GORDO PERONEO CORTO Y LARGO G.LATERAL. GASTRONECMIO MEDIAL.

  19. M.PLANTAR. POPLITEO. GASTRONECMIO LATERAL. GASTRNECMIO MEDIAL.

  20. BICEPS M.PLANTAR GASTRONECMIO LATERAL. GASTRONECMIO MEDIAL.

  21. VASTO MEDIAL. VASTO LATERAL. SARTORIO POPLITEO SEMIMEMBRANOSO

  22. VASTO MEDIAL. VASTO LATERAL. SARTORIO. GRACILIS. M.SEMIMEMBRANOSO SEMITENDINOSO

More Related