1 / 80

AVM TEDAVİSİNDE GÜNCEL YAKLAŞIMLAR

AVM TEDAVİSİNDE GÜNCEL YAKLAŞIMLAR. Dr. Osman KIZILKILIÇ İstanbul Üniversitesi Cerrahpaşa Tıp Fakültesi Radyoloji AD- Nöroradyoloji BD. 30.3.2013. Serebral AVM-AVF. Hemorajik inmelerin %2’sinden sorumlu Genel popülasyondaki sıklığı %0.1-4 arasındadır, 100000 erişkinden 15’inde g.

soo
Download Presentation

AVM TEDAVİSİNDE GÜNCEL YAKLAŞIMLAR

An Image/Link below is provided (as is) to download presentation Download Policy: Content on the Website is provided to you AS IS for your information and personal use and may not be sold / licensed / shared on other websites without getting consent from its author. Content is provided to you AS IS for your information and personal use only. Download presentation by click this link. While downloading, if for some reason you are not able to download a presentation, the publisher may have deleted the file from their server. During download, if you can't get a presentation, the file might be deleted by the publisher.

E N D

Presentation Transcript


  1. AVM TEDAVİSİNDE GÜNCEL YAKLAŞIMLAR Dr. Osman KIZILKILIÇ İstanbul Üniversitesi Cerrahpaşa Tıp Fakültesi Radyoloji AD-Nöroradyoloji BD 30.3.2013

  2. Serebral AVM-AVF • Hemorajikinmelerin %2’sinden sorumlu • Genel popülasyondaki sıklığı %0.1-4 arasındadır, 100000 erişkinden 15’inde g. • Yıllık kanama riski %3-4, eşlik eden anevrizması olanlarda %7 • Çocuklarda posteriorfossada, erişkinlerde ise supratentoriyal bölgede sık

  3. Spetzler-Martin Evrelemesi

  4. EvrelemedeEksikler • Eşlikedenanevrizma • Kanamaolupolmaması • Hidrosefali-hidrovenözhastalık • Çocuklarda eloquent alantanımı • Dominant hemisferyerleşimi

  5. TEDAVİ YÖNTEMLERİ YÖNTEMLER AMAÇ Doğalseyrideğiştirmek Kanamakontrolü SX tedavi İlerleyicinörolojikdefisit NÖbet • Mikrocerrahi • Endovasküler • Radyocerrahi • Kombine tedavi • Takip

  6. AVM Doğal Seyri • Yıllık kanama riski : %1.7-4.1 • İlk kanamanın mortalitesi %10-30 , ağır morbiditesi %10-20 • Kanamamış AVM’lerde yıllık kanama riski %2-3 kabul edilirse : yaşam boyu kanama riski : 105-hastanın yaşı • İlk yıl içinde tekrar kanama riski %6-17 • İkinci kanamadan sonra, ilk yıl içinde tekrar kanama %25

  7. Kanama Riski Radyolojik Parametreler • Daha önce kanama • Derin veya infratentoryal yerleşim • Periventriküler-intraventriküler AVM • Sadece derin venöz drenaj • Eşlikçi anevrizma

  8. Kanama Riski Radyolojik Parametreler • Tek boşaltıcı ven • Diffüz AVM • Kanama hikayesi, tek drenaj ven ve diffüz AVM kanama riski :%8.9 • Kanaması olmayan, birden fazla boşaltıcı veni olan, kompakt AVM’lerde :%1

  9. ARUBA http://www.arubastudy.org/

  10. Embolizasyon • Tedavi amaçlı • Cerrahi öncesi • Radyocerrahi öncesi • Palyatif embolizasyon

  11. Cerrahi öncesi embolizasyon • AVM boyutunda küçülme • Kan akımında azalma • Daha konforlu cerrahi • Operasyon süresi • Kan kaybı • Ulaşımı zor olan bölümlerin eliminasyonu

  12. Palyatif Embolizasyon • Cerrahi veya radyocerrahiye uygun olmayan büyük AVM’lerde yüksek kan akımı veya venöz hipertansiyona sekonder ilerleyici nörolojik defisit veya dirençli nöbetler varsa düşünülebilir. (Geçici etki) • Psödoanevrizma, besleyici arter veya intranidal anevrizmalarda kanama riskini azaltmak amaçlı.

  13. RadyocerrahiÖncesi Emb • AVM’nin boyutunu 3cm’nin altına indirmek • Kanamayı arttırabilecek intranidal anevrizma veya venöz anevrizmaların kapatılması • Venöz hipertansiyona bağlı semptomların azaltılması

  14. Embolizasyon • Komplikasyonlar • Erken ve geç kanamalar • İskemi • Mortalite%0-3 • Kalıcı morbidite: %2-20 • Risk faktörleri • Seansların sayısı • Embolize edilen pediküllerin sayısı

  15. Mikrokateter • Distal erişimkateterleri • Akımlayönlendirilenmikrokateterler • Ayrılabiliruçlumikrokateterler

  16. PVA Sıvı koiller Sıvı embolizanlar NBCA-glue Onyx KONTRAST BAZLI yeni sıvı ajanlar Embolikajanlar

  17. NBCA-Glue • Yüksekakımlafistülözlezyonlar • Tekpedinkül • Kanamış-anevrizmasıolanlezyonlar • KüçükAVM’ler • Lipiodolilekarışım • Konsantrasyon—polimerizasyonzamanı

  18. Ethilen-vinil kopolimer--EVOH Çözücü-- DMSO Opak madde olarak tantalum tozu % 6 tantalum %94 DMSO Sertleşir, polimerizeolmaz Görünürlüğükötü Onyx %6 (Onyx 18), % 6.5 (Onyx 20), %8(Onyx 34)

  19. Onyx enjeksiyonundaönemliipuçları • Ölükadarsabırlıolmalı!!! • Venöztarafçokiyiakıldaolmalı • Çokiyiçalışmaprojeksiyonu • Venözçıkış • Reflü • Kibarvehassasenjeksiyon • Reflüsonrasındapenetrasyoniçinbeklemeli • Penetrasyonbaşlayıncahızlanmakyok • Kontrol run sırasında bile enjeksiyondurdurulmamalı • Nidustansonra venin en proksimalkesimialınmalı • Mümkünisetümniduskapatılmalı

  20. 13 Y E Başağrısı nöbet hidrosefali

  21. 21 Y K hasta GKS 7, sağhemipleji

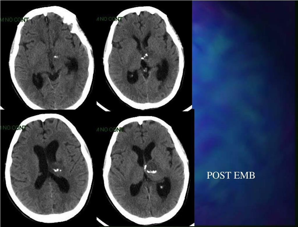
  22. POST EMB

  23. POST EMB

  24. 25 Y E Şuur kaybı

  25. 9 Y E Anibaşağrısıgörmeazalması

  26. Post-op 1.gün

  27. Aynı Seansta Kombine Endovasküler ve Cerrahi Tedavi

  28. 20 Y E hasta ani şuur kaybı

  29. Post op

  30. 42 Y E nöbetkanamamış AVM

  31. Post emb

  32. 8 ay kontrol

  33. 8 ay kontrol

  34. 53 Y E kanama

More Related