1 / 9

Felipe Cupertino de Andrade Tiago Silveira Lima Taissa Canedo de Magalhães Tullia Cuzzi

3921824. Siringofibroadenoma écrino: Tumor raro com apresentação exuberante. Felipe Cupertino de Andrade Tiago Silveira Lima Taissa Canedo de Magalhães Tullia Cuzzi. Serviço de Dermatologia, Curso de Graduação e Pós-Graduação HUCFF -UFRJ,

nellie
Download Presentation

Felipe Cupertino de Andrade Tiago Silveira Lima Taissa Canedo de Magalhães Tullia Cuzzi

An Image/Link below is provided (as is) to download presentation Download Policy: Content on the Website is provided to you AS IS for your information and personal use and may not be sold / licensed / shared on other websites without getting consent from its author. Content is provided to you AS IS for your information and personal use only. Download presentation by click this link. While downloading, if for some reason you are not able to download a presentation, the publisher may have deleted the file from their server. During download, if you can't get a presentation, the file might be deleted by the publisher.

E N D

Presentation Transcript


  1. 3921824 Siringofibroadenoma écrino: Tumor raro com apresentação exuberante Felipe Cupertino de Andrade Tiago Silveira Lima TaissaCanedo de Magalhães TulliaCuzzi Serviço de Dermatologia, Curso de Graduação e Pós-Graduação HUCFF-UFRJ, Faculdade de Medicina - Universidade Federal do Rio de Janeiro

  2. INTRODUÇÃO • O Siringofibroadenomaécrino é um tumor de anexo cutâneo raro com diferenciação écrina. • Caracteriza-se normalmente por placa nodular ceratósica, com alguns centímetros de diâmetro, solitária e localizada em uma extremidade, se apresentando ainda com aspecto linear ou múltiplo. • Pode ser um achado fortuito ou vir acompanhado de outros achados e condições.

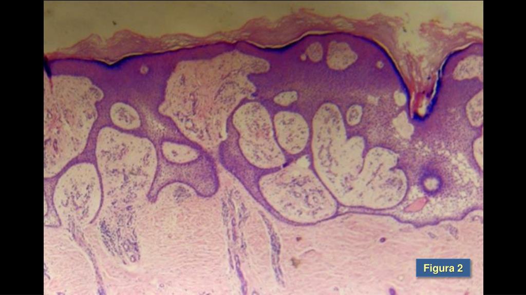
  3. RELATO DE CASO • Paciente do sexo masculino, 75 anos, pardo, casado, aposentado, natural e residente no Rio de Janeiro. • Encaminhado ao Serviço de Dermatologia com queixa de “feridas” no pé esquerdo que surgiram após quadro de erisipela bolhosa no membro referido, quatro anos antes da consulta inicial. • HPP: hipertensão arterial sistêmica, Diabetes Mellitus tipo 2, insuficiência renal crônica, retinopatia diabética, bloqueio atrioventricular total (PACE definitivo). • Ao exame: Lesão em placa de 17 cm de diâmetro, com bordas elevadas de aspecto verrucoso e centro atrófico, com área ceratósica central no dorso do pé esquerdo (Figura 1). • Exame histopatológico da lesão revelou delgadas trabéculas anastomosantes de células discretamente basalóides, imersas por tecido conjuntivo frouxo contendo vasos ectasiados e congestos, compatível com Siringofibroadenoma (Figura 2).

  4. Figura 1: Lesão em placa de 17 cm de diâmetro, com bordas elevadas de aspecto verrucoso e centro atrófico, com área ceratósica central

  5. Figura 2

  6. DISCUSSÃO • O Siringofibroadenomaécrino (SFAE) foi descrito pela primeira vez em 1963 por Mascaro, tendo sido relatados na literatura pouco mais de 50 casos desde então. • Sua apresentação clínica pode variar desde lesão tumoral solitária de crescimento lento, forma mais comum, a múltiplas pápulas e nódulos dispostos de maneira linear em um padrão nevóide. • Acomete em geral pacientes na 7ª e 8ª décadas de vida. • O diagnóstico é confirmado por análise histopatológica, que revela ortoceratose, cordões epiteliais anastomosantes que extendem-se até a derme supérficial, compostos por células basalóides monomórficas menores que os queratinócitos; no interior dos cordões, ocasionalmente são identificadas estruturas ductais, e ao redor, um estroma fibrovascular. • Diagnóstico diferencial: poroma, porocarcinoma, fibroepitelioma de Pinkus e acantoma de células claras.

  7. DISCUSSÃO • Em 1997, Starink propôs classificação em quatro subtipos de acordo com a apresentação clínica: • Tipo 1 – lesão solitária de aspecto variável, não-hereditária em pacientes de meia idade e idosos; • Tipo 2 – múltiplas lesões na Síndrome de Schopf (displasia hidrótica ectodérmica); • Tipo 3 – lesões múltiplas não associadas a síndromes; • Tipo 4 – lesões lineares unilaterais não-familiares provavelmente decorrentes de mosaicismo. • Outra variante clínica, denominada “Siringofibroadenoma reacional”, foi proposta por Mehregan. Trata-se de lesões mais eritematosas e distintas dos outros subtipos, provavelmente causada pela hiperplasia reacional de ductos écrinos devido a dano e reparação teciduais repetidos. • Até o momento, não foi possível atribuir o surgimento do tumor a uma única causa, sendo provavelmente um grupo heterogêneo de desordens. • É amplamente discutido se SFAE é uma verdadeira neoplasia, um hamartoma ou uma forma de hiperplasia reativa. • Estudo imunohistoquímico sugere diferenciação nas porções ductais e secretórias de glândulas sudoríparas écrinas.

  8. DISCUSSÃO • Acreditamos que o caso de nosso paciente encaixa-se na forma reacional hiperplásica pelo relato do aparecimento da lesão após quadro de piodermite no local. • Não há consenso quanto à abordagem terapêutica, tendo sido sugeridos cirurgia micrográfica de Mohs, radioterapia e laserterapia. • Já foi comunicada involução espontânea da lesão, porém degeneração carcinomatosa foi verificada em alguns casos.

  9. REFERÊNCIAS BIBLIOGRÁFICAS • Takeda H, Mitsuhashi Y, Hayashi M, Kondo S. Eccrinesyringofibroadenoma: case report and review of the literature. J EurAcadDermatolVenereol. 2001 Mar;15(2):147-9. • Alli N, Polat M, Cinar SL, Kulaçoğlu S. Eccrinesyringofibroadenoma. Eur J Dermatol. 2008 Jul-Aug;18(4):478-9. • Starink TM. Eccrinesyringofibroadenoma: multiple lesions representing a new cutaneous marker of the Schöpf syndrome, and solitary nonhereditary tumors. J Am AcadDermatol. 1997 Apr;36(4):569-76. • Bjarke T, Ternesten-Bratel A, Hedblad M, Rausing A. Carcinoma and eccrinesyringofibroadenoma: a report of five cases. J CutanPathol. 2003 Jul;30(6):382-92. • Tey HL. Characterizing the nature of eccrinesyringofibroadenoma: illustration with a case showing spontaneous involution. ClinExpDermatol. 2009 Jul;34(5):e66-8.

More Related