1 / 38

Pacemakers and Implantable Cardioverter Defibrillators

Pacemakers and Implantable Cardioverter Defibrillators. Dr. Sivaraman Yegya-Raman. Temporary and Permanent Cardiac Pacing. Introduction Temporary pacing : Indications, Technique Permanent Pacing : Nomenclature Indications Pacing for Hemodynamic Improvement

ismet
Download Presentation

Pacemakers and Implantable Cardioverter Defibrillators

An Image/Link below is provided (as is) to download presentation Download Policy: Content on the Website is provided to you AS IS for your information and personal use and may not be sold / licensed / shared on other websites without getting consent from its author. Content is provided to you AS IS for your information and personal use only. Download presentation by click this link. While downloading, if for some reason you are not able to download a presentation, the publisher may have deleted the file from their server. During download, if you can't get a presentation, the file might be deleted by the publisher.

E N D

Presentation Transcript


  1. Pacemakers and Implantable Cardioverter Defibrillators Dr. Sivaraman Yegya-Raman

  2. Temporary and Permanent Cardiac Pacing • Introduction • Temporary pacing : Indications, Technique • Permanent Pacing : Nomenclature Indications Pacing for Hemodynamic Improvement Pacemaker Implantation, Complications • Implantable Cardioverter Defibrillator

  3. Temporary Cardiac Pacing • Transvenous • Transcutaneous • Epicardial • Transesophageal

  4. Indications for Temporary Pacing • Acute myocardial infarction with: CHB, Mobitz type 2 AV block, medically refractory symptomatic bradycardia, alternating BBB, new bifascicular block, new BBB with anterior MI • In absence of acute MI : SSS, CHB, Mobitz type 2 AV block • Treatment of tachyarrhythmias : VT

  5. Temporary Transvenous Pacing Electrograms

  6. Permanent Pacing

  7. Lead Pacemaker The Pacemaker System • Patient • Lead • Pacemaker • Programmer

  8. Pacemaker Implantation • Transvenous : • Generator implanted anterior to pectoral muscle • Atrial/Ventricular leads via subclavian or cephalic vein • Sensing and pacing threshold • Chest X-ray for pneumothorax, lead position

  9. Acute Complications of Pacemaker Implantation • Venous access Pneumothorax, hemothorax Air embolism Perforation of central vein Inadvertent arterial entry • Lead placement Brady – tachyarrhythmia Perforation of heart, vein Damage to heart valve • Generator Pocket hematoma Improper or inadequate connection of lead

  10. Delayed Complications of Pacemaker Therapy • Lead-related Thrombosis/embolization SVC obstruction Lead dislodgement Infection Lead failure Perforation, pericarditis • Generator-related Pain Erosion, infection Migration Damage from radiation, electric shock • Patient-related Twiddler syndrome

  11. Codes Describing Pacemaker Modes NASPE/BPEG 2002

  12. DDD

  13. Indications for Pacing for AV Block

  14. Indications for Pacing for Sinus Node Dysfunction

  15. Case #1 72 year old male with chronic atrial fibrillation of greater than 10 years’ duration is admitted following a syncopal episode. A 2D echo shows LVEF 60%. Telemetry reveals atrial fibrillation with slow ventricular response and pauses of 5 to 6 seconds associated with lightheadedness. How would you proceed?

  16. Case #1 72 year old male with chronic atrial fibrillation of greater than 10 years’ duration is admitted following a syncopal episode. A 2D echo shows markedly dilated left atrium and LVEF 60%. Telemetry reveals atrial fibrillation with slow ventricular response and pauses of 5 to 6 seconds associated with near syncope. How would you proceed? Answer: Implant a ventricular rate responsive pacemaker

  17. Pacemaker Follow-up • GOAL OF FOLLOW-UP • Verify appropriate pacemaker operation • Optimize pacemaker functions • Document findings, changes and final settings in order to provide appropriate patient management

  18. “Pacemaker Syndrome” • Fatigue, dizziness, hypotension • Caused by pacing the ventricle asynchronously, resulting in AV dissociation or VA conduction • Mechanism: atrial contraction against a closed AV valve and release of atrial natriuretic peptide • Worsened by increasing the ventricular pacing rate, relieved by lowering the pacing rate or upgrading to dual chamber system • Therapy with fludrocortisone/volume expansion NOT helpful

  19. Medical MRI Lithotripsy Electrocautery/cryosurgery External defibrillators Therapeutic radiation Nonmedical Arc welding equipment Automobile engines Radar Transmitters Sources of Electromagnetic Interference

  20. Biventricular Pacing

  21. Normal conduction allows for prompt and synchronous activation of the atria and ventricles Results in a brief P wave, PR interval and a narrow QRS Sinus node AV node Normal Conduction Is Important

  22. Cardiomyopathy, LBBB, Heart Failure • Delayed lateral wall contraction • Disorganized ventricular contraction • Decreased pumping efficiency Sinus node AV node Conduction block

  23. Sinus node AV node Stimulation therapy Heart FailureBifocal Ventricular Pacing • Intraventricular Activation • Organized ventricular activation sequence • Coordinated septal and free-wall contraction • Improved pumping efficiency Conduction block

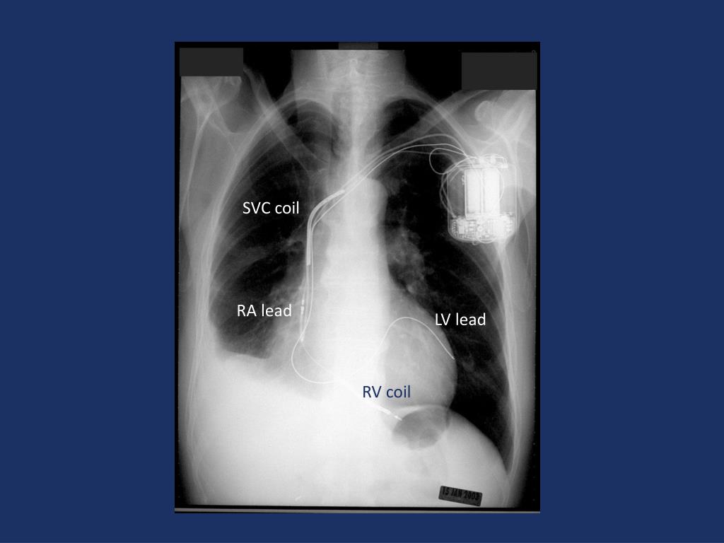
  24. Bi-Ventricular Pacing Right atrial lead Coronary sinus lead Right ventricular lead N Engl J Med 2003

  25. SVC coil RA lead LV lead RV coil

  26. RA lead LV lead RV lead

  27. Bi-V Pace

  28. Implantable Cardioverter Defibrillator (ICD)

  29. ICD Implantation • Secondary prevention: Prevention of SCD in patients with prior VF or sustained VT. • Primary prevention: Prevention of SCD in individuals without a h/o VF or sustained VT.

  30. Indications For ICD • VF/sustained unstable VT not in the setting of a completely reversible cause. • LVEF ≤ 35%, CHF NYHA class II, III. • Ischemic dilated cardiomyopathy, LVEF ≤ 40%, NSVT and inducible sustained VT. • Syncope, LV dysfunction, inducible sustained VT. • High risk patients with: hypertrophic cardiomyopathy, LQT syndrome, RV dysplasia, Brugada syndrome

  31. ACC/AHA/HRS 2008 Guidelines: SystolicHeart Failure - Cardiac Resynchronization Therapy (CRT) Recommendations • LVEF ≤ 35% • QRS ≥ 120 msec • NYHA functional Class III or ambulatory Class IV • Optimal medical therapy

  32. “Typical Case” 58 year old male, CAD, prior MI, EF 28%, CHF, NYHA class II, Medications: Furosemide 40 mg, Enalapril 20 BID, Aldactone 25 qd, Carvedilol 25 BID, no syncope or VT, ECG: Sinus rhythm, old anteroseptal MI, QRS 92 msec Based on available trial data, you would suggest: A. Treating medically without device implantation B. Implanting an ICD C. Implanting an ICD with biventricular pacing capabilities (3 leads)

  33. Typical Case Q: 60 year old female presents with a 1 year h/o non ischemic dilated cardiomyopathy, CHF NYHA class III despite maximum medical therapy, LVEF 20% and LBBB with QRS 170 msec. What device is indicated? A: Bi-Ventricular ICD

  34. 1° Prevention: Clinical Device Algorithm If Non –Ischemic Dilated Cardiomyopathy: & EF ≤ 35% ACE inhibitors, Beta Blockers ICD If LVEF ≤ 35%, CHF Class III-IV, QRS≥ 120 ms BiV ICD

  35. Magnet Application on Pacemaker/ICD • Pacemaker: • Disables sensing • Changes to VOO or DOO mode • Useful if cautery is being used in PPM dependent pt. • ICD: • Disables Tachycardia sensing • Useful at bedside if pt. has ventricular lead fracture or Afib with rapid ventricular response causing ICD shocks • Prevents ICD shock during cautery application at surgery

  36. Future Directions • Leadless pacing • Biological pacemakers • Subcutaneous ICD

More Related