1 / 11

Casereport

Casereport. - Female born -44. IBS. Coxarthrosis , hipjoint replacement -2010 -Perforated appendicitis in youth . - Hyst+SOE / Leiomyoma -1991 - Tumour in mandible operated x 3 ( ameloblastoma ) - Gallstones –surgical policlinic 2012. Mild symptoms. No surgery.

eljah
Download Presentation

Casereport

An Image/Link below is provided (as is) to download presentation Download Policy: Content on the Website is provided to you AS IS for your information and personal use and may not be sold / licensed / shared on other websites without getting consent from its author. Content is provided to you AS IS for your information and personal use only. Download presentation by click this link. While downloading, if for some reason you are not able to download a presentation, the publisher may have deleted the file from their server. During download, if you can't get a presentation, the file might be deleted by the publisher.

E N D

Presentation Transcript


  1. Casereport -Female born -44. IBS. Coxarthrosis, hipjointreplacement -2010 -Perforated appendicitis in youth. -Hyst+SOE /Leiomyoma -1991 -Tumourin mandible operated x 3 (ameloblastoma) -Gallstones –surgical policlinic 2012. Mild symptoms. No surgery. -Loose stools and “hemorroidal symptoms” since several years. Fresh blood frequent in stools. -Medication: Paracetamol on demand. Imovane. No allergy for medicines.

  2. Rectoscopy 131101 reaches 10-12 cm,”bleeding from above” -Colonoscopy 131119 “Adenoma at 25 cm (polypectomy-macroscopically radical), and cancer in rectosigmoid around 15 cm, 4 cm long”. -Rectoscopy 131128 “Rectalcancer starting at 14 cm”

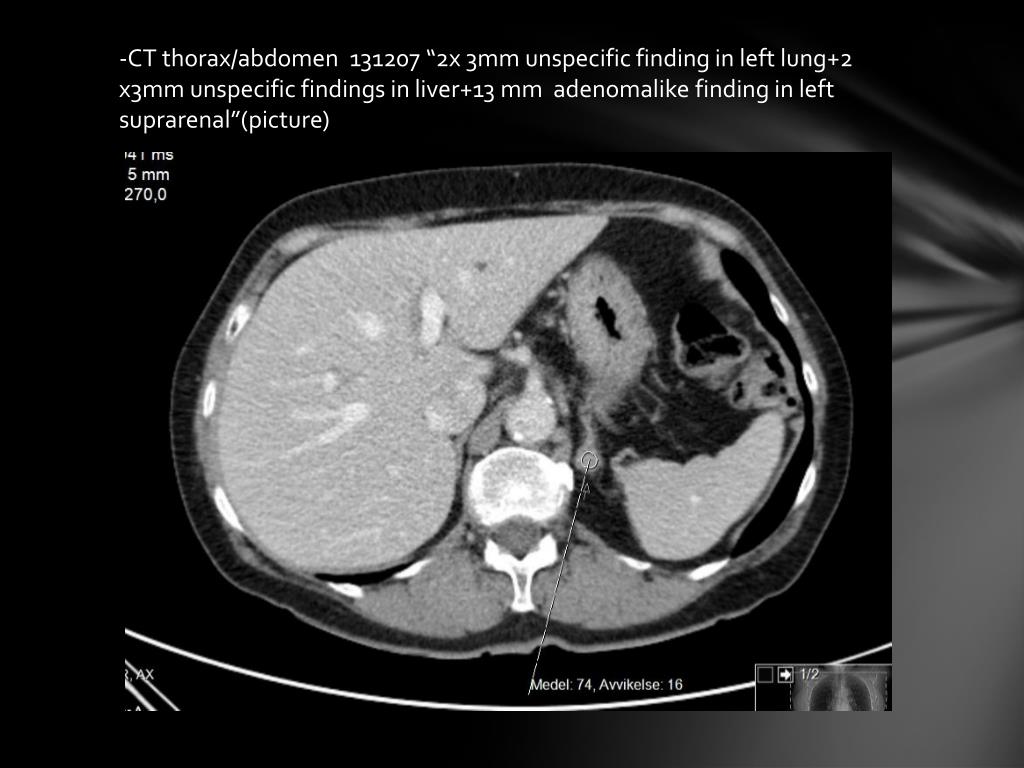
  3. -CT thorax/abdomen 131207 “2x 3mm unspecific finding in left lung+2 x3mm unspecific findings in liver+13 mm adenomalike finding in left suprarenal”(picture)

  4. MR 131205 : ”6cm long tumour in rectumgrowingthroughmuscularislayer. Severalupto 7mm lymfnodeswithin MRF, metastatic? T3b N1 M0, MRF negative”

  5. -MDT 131209 “Preoperative Rapidostudy? Long radio/chemotherapy? Low anterior resection after oncological treatment” -Oncologydepartment 140110 “Not included in Rapido study (metastatic growth in left suprarenal cannot be excluded+ameloblastoma). Long radio/chemotherapy “

  6. -CT thorax/abdomen 140409. “No progress of unspecific findings in lung+liver+left suprarenal”

  7. -MR 140404 “Partial regress. No growth seen outside muscularis layer. Partial regress of suspected lymfnodes. All lymfnodes 2mm or more from MRF. MRF negative. T2 N1 M0.”

  8. -MDT 140428 “Low anterior resection (loopileostomy?) at Nyköping Hospital 140505. CT abdomen/suprarenal 3 months”

  9. -Contact Dr Gunnar Lindgren Södertälje Hospital 140429 “Bill Heald is coming for demonstration surgery. We cannot find any suitable patient for rectal cancer surgery-help !” -Contact with patient 140430. “I don´t want to be any experimental patient-but what was the name of the surgeon that was going to operate?” “Bill Heald?” Let me google him and come back in two hours.” “I say yes to your suggestion. Just give me all instructions and see you in Södertälje on Wednesday”

  10. Laboratory Hb-117 Krea 46 S-k 4,1 S-Na 140 Alb 40 CEA 0,5 (131119) L-166cm W-66kg

  11. Histopathology Tumour:Adenoma with high grade dysplasia with growth of invasive adenocarcinoma. Polyp:Adenoma with partially high grade dysplasia. Nowhere invasive cancer.Small area of stalk without dysplasia-could be radical.

More Related