dotty
Uploaded by
48 SLIDES
910 VIEWS
490LIKES

Endosonografia EUS

DESCRIPTION

Endosonografia EUS. Dr. Altin CEKODHIMA Dr. Emrah A LPER. CFARE ESHTE ENDOSONOGRAFIA ?. Jane sonda ultrasonografike ne forme lineare dhe radiale te bashkengjitura ne endoskop me pamje anesore ose ballore . ( ekoendoskop )

1 / 48

Download Presentation

Endosonografia EUS

An Image/Link below is provided (as is) to download presentation Download Policy: Content on the Website is provided to you AS IS for your information and personal use and may not be sold / licensed / shared on other websites without getting consent from its author. Content is provided to you AS IS for your information and personal use only. Download presentation by click this link. While downloading, if for some reason you are not able to download a presentation, the publisher may have deleted the file from their server. During download, if you can't get a presentation, the file might be deleted by the publisher.

E N D

Presentation Transcript


  1. EndosonografiaEUS Dr. Altin CEKODHIMA Dr. Emrah ALPER

  2. CFARE ESHTE ENDOSONOGRAFIA? • Jane sondaultrasonografikene formelinearedheradialetebashkengjiturane endoskop me pamjeanesoreoseballore. ( ekoendoskop ) • Ekoendoskopetlidhen me aparaturatstandarteteUS(ekos) dhejapinimazheultrasonografike • Ne aparaturatEndosonografikeperdoren software tedopleritqeperdoren ne USG per tematurrrymen, elasticitetin, harmonine e indeve, dheimazheme lendekontrastueseteenevetegjakut.

  3. Llojet e Endosonografise • Endosonografia radiale ; perdoret per qellimetdiagnostike jeppamjeballoreendoskopike eshte me e lehte ne perdorim jeppamjeimazheriketengjashme me tomografine e kompjuterizuar360° • Endosonografia lineare ; perdoret per qellimeterapeutikedheintervencioniste jeppamjelaterateendoskopike eshte me e veshtire ne perdorimdhekerkonsedacion jeppamjetengjashme me ultrasonografine130°

  4. EUSDİAGNOSTİKe(PREJ VITIT 1980 DERI NE DITET E SOTME); Me pamjetimazherike, marrjene biopsisene lezionete vrejturadhestadifikimin e tumorevekanjeperdorimtegjeresi me poshte: • Vleresimine paretitdhetelumenittetraktitgastrointenstinal • Organetqekufizohenme lumeningastrointenstinal (mediastini, hapesiraperirektale, tiroidet, hapesiraceliakeetj) • Parenkimae pankreasitdhestrukturatqekufizojneparenkimen • Vijatbiliareextrahepatike

  5. EUS terapeutike(Prejvitit 2000 ne ditet e sotme); • Bllokundheneurolizen e plexusitceliak • Cistogastrostomine perdorim ne faze eksperimentale • Drenazhetgastrobiliaredhe koledokoduodenal • Markimettumorale • Brakioterapine intratumorale • Terapine me antikorpeintratumorale

  6. Perparesite e EUS; • Nukkapengese per shkakteobezitetitdhegazrave • Strukturaanatomikeqeekzaminoheteshteshumeafersondes. ( mundteekzaminohendhelezioneshumetevegjel) • Valet ultrasonografikeqeperdorenkanefrekuenceshumetelarte(5- 20 MHz) • Tejepmundesi per marrjeimazheshdhebiopsine strukturaanatomikeqenukmundtearrihen ne menyretransabdominale • Avantazhet e tjerate USG standarte ( dallimicistik-solid, pa radiacion, dhepamjet real time etj)

  7. PORTAL VENÖZ SİSTEM SPLENİK VEN PANKREAS SUPERİOR MEZ. VEN PORTAL VEN PORTAL KONFLUENS KARACİĞER

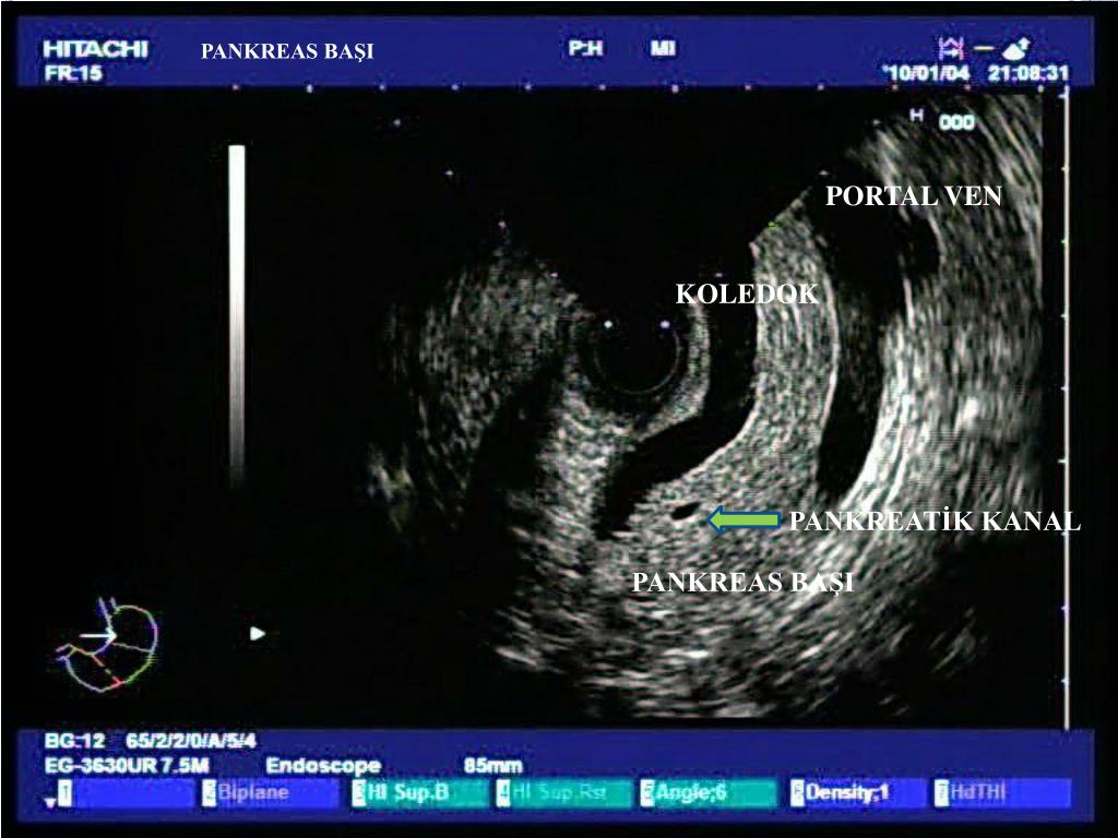
  8. PANKREAS BAŞI PORTAL VEN KOLEDOK PANKREATİK KANAL PANKREAS BAŞI

  9. PANKREAS GÖVDESİ SPLENİK VEN SUP MEZ ARTER PANKREAS GÖVDE RENAL VEN

  10. Fusha e perdorimit • Ekzaminimidhemarrjebiopsiee limfadenopativetemediastinit • Stadifikimilokalsipasshtresavedheinfiltrimit I tumoreveteezofagut • Marrja e biopsise se lezionevesubepitelialeteparetite ezofagut • Stadifikimilokal I tumorevegastrike • Marrja e biopsise se lezionevesubepitelialeteparetitgastrik

  11. MİDE CA MALİGN LAP

  12. MİDE LEIMYOSARKOM

  13. ÖZÖFAGUS LEIOMYOM

  14. GIST

  15. KESENİN MİDEYE BASISI

  16. GASTRİK LENFOMA

  17. PERİGASTRİK KOLLATERALLER

  18. Fusha e perdorimit • Ekzaminimi I natyres se obstruksionittekoledokutdhenesenevojitetmarrja e biopsise per ekzaminimcitologjik • DiagnostikimiI gurevetekoledokut (koledokolitiazis) • Klasifikimilokal I tumorevetekoledokut • Drenazhimet koledoko-duodenal • Drenazhimet gastro- biliare

  19. DİSTAL KOLANJİO CA

  20. KOLEDOK TAŞLARI

  21. KESE TÜMÖRÜ

  22. KR PANKREATİT DİSTAL KOLEDOK BASISI

  23. İNTRAHEPATİK KLATSKİN TM

  24. Fusha e perdorimit • Klasifikimilokal I tumoreveterektumit • Ekzaminimidhedrenimi I absceveperirektale • Ekzaminimi I absevedhefistulaveperianale • Klasifikimilokaldhemarrja e biopsivetetumoreveteprostates

  25. REKTUM CA

  26. Fusha e perdorimit • Marrja e biopsivengamasat e Pankreasit • Stadifikimilokal I kancerittepankreasit • Aspirimi I kistevedhetumorevekistiketepankreasit • Drenimigastrik I pseudokistevetepankreasit • Drenimigastrik I absceveperipankreatik • Diagnostikimi I hershem I pankreatititkronik.

  27. PANKREAS BAŞ TM PORTAL VEN KOLEDOK KİTLE

  28. SPLENİK VEN İNVAZE TM KİTLE SPLENİK VEN DİSTALİ

  29. PANKREATİK KANAL TM PORTAL VEN KOLEDOK PANKREATİKKANAL KİTLE

  30. VASKÜLER İNVAZYON (LİNEER) SPLENİK ARTER

  31. VASKÜLER İNVAZE TM KİTLE İNVAZYON SEGMENTİ

  32. SPLENİK VEN TROMBÜSÜ TROMBÜS PANKREAS SUP MEZ ARTER SPLENİK VEN

  33. PANKREAS GÖVDE KİTLE KİTLE

  34. PANKREAS TM BİOPSİ İĞNE KİTLE

  35. DÜZENSİZ PANKREATİK KANAL PANKREATİK KANAL PANKREAS

  36. KR PANKREATİT

  37. Fusha e perdorimit • Neurolize e pleksusitceliak • Vendosja e markeritradjoterapik • Brakiterapi (radioactiveiodineseeds (125I) • Injektimi I agjenteve Anti-Tumorale (5 fluorouracil (200 mg/m2/day, for 5 days, mixedlymphocyteculture (Cytoimplant), anti-tumorviraltherapy (ONYX-015)

  38. ÇÖLİAK NÖROLİZ ÇÖLİAK ARTER AORTA

  39. Masatsolidetepankreasit Percaktohet: • Perberja ( masa, ekogjeniteti, nekroza) • Infiltrimivaskulardheraportin me: ( vena portae, vena mezenterica sup, arteriamezanterica sup, arteriasplenica, arteriaceliacae) • Raporti me organetfqinje ( koledoku, duodeni, paretigastrik, hepari) • Gjendratlymphaticeperreth ( celiak, periaortik, peripancreatic, hilear, mediastinal)

  40. Vleradiagnostike • EUS`jaeshtemenyraimazherike me sensitive jokirurgjikale ne diagnostikimin e masavemalinjeosebeninjetepankreasit. • Kanjesensitivitetdiagnostikimi85 – 100 %, dhespecifitet92 – 98 %. • Sensitiviteti ne klasifikimeshte 90 – 97 %. • Sensitivitetine vleresimin e invazionitvaskulareshte85 – 97 %

  41. Vlera e perdorimitteeus • Perdorimi i endosonografisedheFNA-se ne diagnostikimindheklasifikimin e dyshimevetetumorittepankresitkanjekostoefikasitettelarte • Ne diagnostikimin e masavesolidetepankreasit, EUS – FNA kanjesensitivitet 95 % dhespecifitet 92 % , dhepercaktim 94.1 %

  42. Disavantazhet e EUS; • Hapesiretekufizuarekzaminimi ( max 7 cm) • Kaperdorimtekufizuar ne crregullimet e teresiseanatomike ( operacionet GIS etj) • Eshte e pamjaftueshme ne ndarjen e benign – malign ( kaparashikimtelarte) • Ndjehetnevoja e biopsise ( nevojitje e EUS – FNA) • Eshte e pamjaftueshme ne dallimine mases me inflamacionin ( krijonprobleme ne klasifikimin e tumoreve) • Eshte e pamjaftueshme ne dallimin e limfadenopativereaktive – malign ( kaparashikimtelarte) • Ne klasifikimet e tumorevetePankreasit, GIS superior dheRektalekanevoje per ekzaminimetetjera ( CT, MRI, PET etj. ) duhetteperdoretbashke me to

  43. Si mundtezgjidhimnjepjesetedizavantazheve? • Mundtezgjidhimproblemetqerrjedhinngapermasate ekoendoskopitdheprishjeveanatomike duke perdorur probe mini qekalojnebrendaendoskopitstandart. ( qeperdorenaktualisht) • Duke perdoruragjentkontrastiultrasonikmundteekzaminojmevaskularitetinintratumoral. • MundteperdorimElastografineper tematurelasticitetin e indeve. ( perdoret ne pakqendradhekerkonpervoje.) • Mundteperdorim se bashkuagjentinkontrastuesdheelastografine.

More Related